Ce este profilaxia?
Este ramura care se ocupă cu curățarea și mentenanța dinților. Este una dintre cele mai simple, dar importante manopere care – realizată corect – menține sănătatea orală sub control.
Servicii de profilaxie
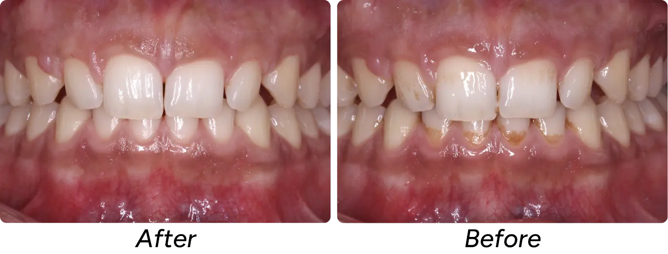
IGIENIZARE DENTARĂ
Este procedura completă noninvazivă prin care se îndepărtează placa bacteriană și depozitele de tartru format pe dinți, prevenind astfel deteriorarea acestora. La NatureDent manoperele de profilaxie sunt executate eficient și fără durere pentru un confort sporit al pacientului.
EDUCAȚIE SĂNĂTATE ORALĂ
La NatureDent ne asigurăm că obiceiurile pentru o sănătate orală corectă sunt pe deplin înțelese pentru o bună aplicare.
De ce să lucrezi cu noi
Competență
Beneficiezi de tratamente concepute de o echipă multidisciplinară și supraspecializată, centrată pe menținerea sănătății orale și a dentiției naturale.
Echipă tânără și empatică
Ne asigurăm că toate nevoile tale sunt discutate și înțelese, iar echipa te tratează cu răbdare și empatie.
Disconfort redus
Ai parte de proceduri și tehnici eficiente, cu accent pe reducerea disconfortului, într-un cabinet modern și confortabil pentru o experiență fără stres.
Aparatură de ultimă generație
Te bucuri de tratamente inovative fiindcă lucrăm doar cu aparatură premium, de ultimă generație.
Siguranța e o prioritate
Te simți în siguranță fiindcă respectăm toate standardele de igienă și calitate.
Atenția la detalii face diferența
Toate tratamentele sunt gândite în detaliu și executate meticulos.
Prețuri
| Ședința completă de profilaxie No Pain, Bright & Healthy | 400 RON |
Cazuistică și portofoliu
Pasiunea pentru frumusețea subtilă, ne face să ducem estetica dentară la rang de artă. Ne bucurăm de fiecare dată când redăm zâmbetul natural al oamenilor.






Ce spun cei care ne-au trecut pragul
Felicitari si multumiri echipei ! profesionalism din toate punctele de vedere! Recomand cu incredere serviciile oferite de aceasta echipa!